Before & After Smile Gallery
-
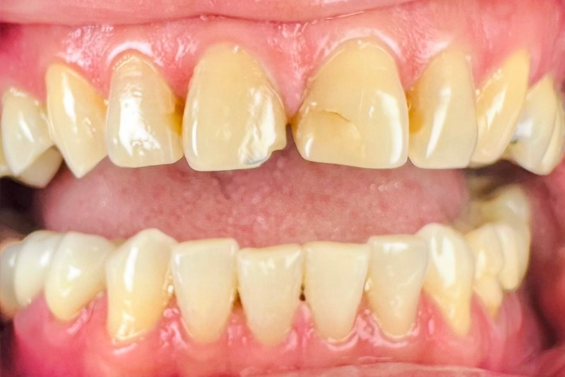
Before
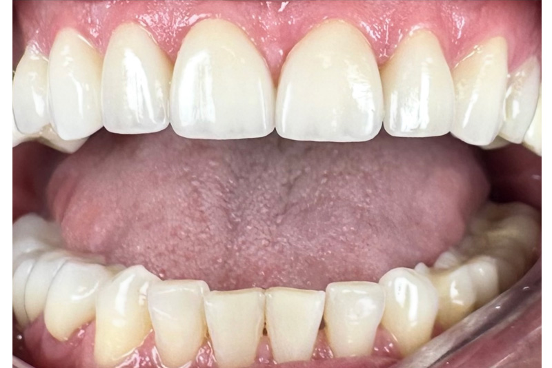
After
Veneers
Read About This RestorationThis patient presented with chipped and cracked teeth and often felt self-conscious about smiling. After completing his veneer treatment, he now smiles with confidence — even receiving compliments on his smile from complete strangers.
-
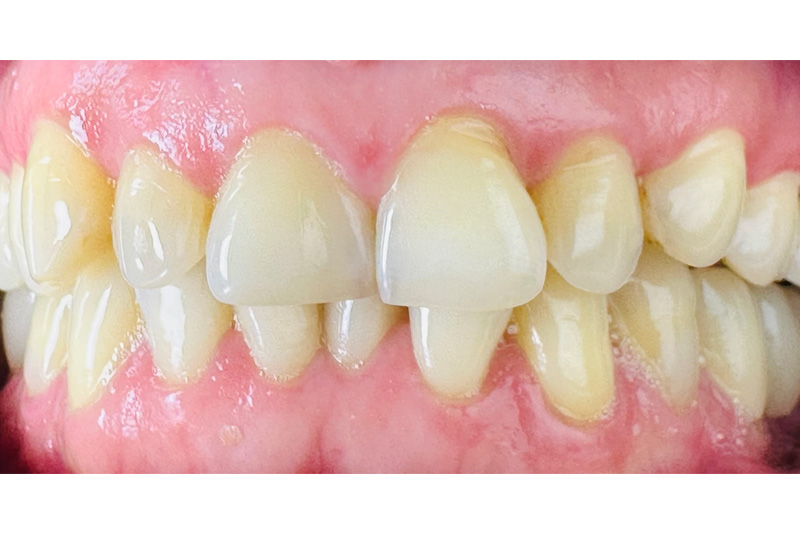
Before
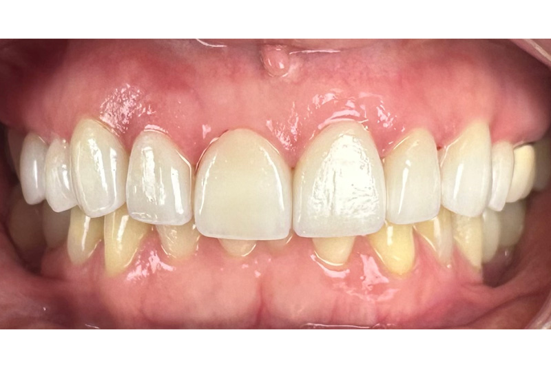
After
Veneers
Read About This RestorationThis patient expressed concerns about her smile due to dental crowding and desired a natural-looking result that would enhance her appearance without appearing artificial.
-
Before
After
-
Before
After
-
Before
After
-
Before
After
-
Before
After
-
Before
After
-
Before
After
-
Before
After
-
Before
After
-
Before
After
-
Before
After
-
Before
After
-
Before
After
-
Before
After
-
Before
After
-
Before
After
-
Before
After
-
Before
After
-
Before
After
